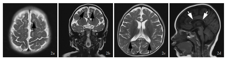
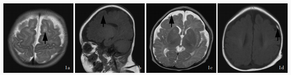
| 1 |
Kaur R , Correa ARE , Thakur S , Kabra M , Gupta N . Methylene tetrahydrofolate reductase deficiency. Indian J Pediatr, 2020, 87: 951- 953.
doi: 10.1007/s12098-020-03290-3
|
| 2 |
Ahmed S , Akbar F , DeBerardinis RJ , Ni M , Afroze B . Evaluation of the clinical, biochemical, and genetic presentation of neonatal and adult - onset 5, 10 - methylene tetrahydrofolate reductase (MTHFR) deficiency in patients from Pakistan. J Pediatr Endocrinol Metab, 2023, 36: 761- 771.
doi: 10.1515/jpem-2023-0083
|
| 3 |
Chang KJ , Zhao Z , Shen HR , Bing Q , Li N , Guo X , Hu J . Adolescent/adult - onset homocysteine remethylation disorders characterized by gait disturbance with/without psychiatric symptoms and cognitive decline: a series of seven cases. Neurol Sci, 2021, 42: 1987- 1993.
doi: 10.1007/s10072-020-04756-0
|
| 4 |
Scheffer IE , Berkovic S , Capovilla G , Connolly MB , French J , Guilhoto L , Hirsch E , Jain S , Mathern GW , Moshé SL , Nordli DR , Perucca E , Tomson T , Wiebe S , Zhang YH , Zuberi SM . ILAE classification of the epilepsies: position paper of the ILAE Commission for Classification and Terminology. Epilepsia, 2017, 58: 512- 521.
doi: 10.1111/epi.13709
|
| 5 |
Lin L , Cui ZZ , He F , Zhao XL , Jin DQ , Yang B . Analysis of genetic characteristics in four children with atypical Rett syndrome and developmental epileptic encephalopathy caused by IQSEC2 gene variation. Zhongguo Xian Dai Shen Jing Ji Bing Za Zhi, 2024, 24: 674- 683.
doi: 10.3969/j.issn.1672-6731.2024.08.012
|
|
林丽, 崔珍珍, 何凡, 赵晓玲, 金丹群, 杨斌. IQSEC2基因变异致非典型Rett综合征并发育性癫痫性脑病四例遗传学特点分析. 中国现代神经疾病杂志, 2024, 24: 674- 683.
doi: 10.3969/j.issn.1672-6731.2024.08.012
|
| 6 |
Xu R , Ning ZS , Kang QY , Chen B , Liao HM , Yang LM , Wu LW . Analysis of clinical phenotype and gene variation characteristics of potassium channel gene variation in infants with epileptic encephalopathy. Zhongguo Xian Dai Shen Jing Ji Bing Za Zhi, 2023, 23: 196- 204.
doi: 10.3969/j.issn.1672-6731.2023.03.008
|
|
徐蓉, 宁泽淑, 康庆云, 陈波, 廖红梅, 杨理明, 吴丽文. 钾离子通道基因变异相关婴儿癫痫性脑病临床表型与基因变异特点分析. 中国现代神经疾病杂志, 2023, 23: 196- 204.
doi: 10.3969/j.issn.1672-6731.2023.03.008
|
| 7 |
Niu XY , Zhang YH . Research progress on developmental epileptic encephalopathy. Jing Zhun Yi Xue Za Zhi, 2024, 39: 476- 481.
|
|
牛雪阳, 张月华. 发育性癫痫性脑病研究进展. 精准医学杂志, 2024, 39: 476- 481.
|
| 8 |
Goyette P , Sumner JS , Milos R , Duncan AM , Rosenblatt DS , Matthews RG , Rozen R . Human methylenetetrahydrofolate reductase: isolation of cDNA, mapping and mutation identification. Nat Genet, 1994, 7: 195- 200.
doi: 10.1038/ng0694-195
|
| 9 |
Yin Q , Yuan TX , Ma J , Tang JG , Tan XL , Yang L . Severe hyperhomocysteinemia due to MTHFR deficiency caused by a new mutation: a case report and literature review. Zhong Nan Da Xue Xue Bao (Yi Xue Ban), 2024, 49: 1363- 1374.
|
|
尹晴, 袁天祥, 马捷, 汤建光, 谭旭玲, 杨利. 新突变株导致MTHFR缺乏引起的严重高同型半胱氨酸血症1例并文献复习. 中南大学学报(医学版), 2024, 49: 1363- 1374.
|
| 10 |
Brandt T , Sack LM , Arjona D , Tan D , Mei H , Cui H , Gao H , Bean LJH , Ankala A , Del Gaudio D , Knight Johnson A , Vincent LM , Reavey C , Lai A , Richard G , Meck JM . Adapting ACMG/AMP sequence variant classification guidelines for single - gene copy number variants. Genet Med, 2020, 22: 336- 344.
doi: 10.1038/s41436-019-0655-2
|
| 11 |
Nguyen H , Case DA , Rose AS . NGLview - interactive molecular graphics for Jupyter notebooks. Bioinformatics, 2018, 34: 1241- 1242.
doi: 10.1093/bioinformatics/btx789
|
| 12 |
Liu F , Liang LL , Qiu WJ , Zhang HW , Zhan X , Xu F , Zhang Y , Zhang JM , Yang SH , Han LS . Analysis of MTHFR gene variants in fifteen children with hyperhomocysteinemia. Zhonghua Yi Xue Za Zhi, 2024, 104: 2256- 2259.
|
|
刘飞, 梁黎黎, 邱文娟, 张惠文, 占霞, 徐烽, 张彦, 张建美, 杨素红, 韩连书. MTHFR基因变异致儿童高同型半胱氨酸血症15例分析. 中华医学杂志, 2024, 104: 2256- 2259.
|
| 13 |
Guo J , Lü SM , Liu RH , Kong QX . Progress on the relationship between hyperhomocysteinemia and epilepsy. Dian Xian Yu Shen Jing Dian Sheng Li Xue Za Zhi, 2023, 32: 233- 238.
|
|
郭佳, 吕邵敏, 刘瑞寒, 孔庆霞. 高同型半胱氨酸血症与癫痫关系的研究进展. 癫痫与神经电生理学杂志, 2023, 32: 233- 238.
|
| 14 |
Whitehouse A , Rehsi P , Hartley L , Grunewald S , Yilmaz BS , Pegoretti Baruteau K , Yaman A , Thavagnanam S , Baruteau J . Prolonged respiratory failure responds to conventional therapy in isolated homocysteine remethylation defects. JIMD Rep, 2023, 64: 274- 281.
|
| 15 |
Cappuccio G , Cozzolino C , Frisso G , Romanelli R , Parenti G , D'Amico A , Carotenuto B , Salvatore F , Del Giudice E . Pearls & oy - sters: familial epileptic encephalopathy due to methylenetetrahydrofolate reductase deficiency. Neurology, 2014, 83: e41- e44.
|
| 16 |
Zou R , Dai Y , Wang D , Zhang X . Association between MTHFR polymorphism and seizure control in epileptic patients with hyperhomocysteinaemia. Epileptic Disord, 2022, 24: 889- 897.
doi: 10.1684/epd.2022.1470
|
| 17 |
Chang KJ. Clinical and molecular biological study of late- onset hereditary hyperhomocysteinemia [D]. Shijiazhuang: Hebei Medical University, 2021.
|
|
常凯杰. 晚发型遗传性高同型半胱氨酸血症临床及分子生物学研究[D]. 石家庄: 河北医科大学, 2021.
|
| 18 |
Diekman EF , de Koning TJ , Verhoeven-Duif NM , Rovers MM , van Hasselt PM . Survival and psychomotor development with early betaine treatment in patients with severe methylenetetrahydrofolate reductase deficiency. JAMA Neurol, 2014, 71: 188- 194.
doi: 10.1001/jamaneurol.2013.4915
|
| 19 |
Strauss KA , Morton DH , Puffenberger EG , Hendrickson C , Robinson DL , Wagner C , Stabler SP , Allen RH , Chwatko G , Jakubowski H , Niculescu MD , Mudd SH . Prevention of brain disease from severe 5, 10 - methylenetetrahydrofolate reductase deficiency. Mol Genet Metab, 2007, 91: 165- 175.
doi: 10.1016/j.ymgme.2007.02.012
|
| 20 |
Prasad AN , Rupar CA , Prasad C . Methylenetetrahydrofolate reductase (MTHFR) deficiency and infantile epilepsy. Brain Dev, 2011, 33: 758- 769.
doi: 10.1016/j.braindev.2011.05.014
|
| 21 |
Tonetti C , Burtscher A , Bories D , Tulliez M , Zittoun J . Methylenetetrahydrofolate reductase deficiency in four siblings: a clinical, biochemical, and molecular study of the family. Am J Med Genet, 2000, 91: 363- 367.
doi: 10.1002/(SICI)1096-8628(20000424)91:5<363::AID-AJMG9>3.0.CO;2-X
|
| 22 |
Deng J , Fang F , Wang XH , Chen CH , Wang X , Zhuo XW , Dai LF , Li H , Zheng X , Zheng X , Yang ZX , Shen YH . Etiological analysis and clinical characteristics of 30 patients with early-onset epileptic encephalopathy with burst - suppression electroencephalogram. Zhonghua Shi Yong Er Ke Lin Chuang Za Zhi, 2020, 35: 1853- 1857.
|
|
邓劼, 方方, 王晓慧, 陈春红, 王旭, 卓秀伟, 代丽芳, 李华, 郑旭, 郑侠, 杨子馨, 沈华艳. 早发性癫痫脑病伴暴发-抑制脑电图患儿30例的病因与临床特点分析. 中华实用儿科临床杂志, 2020, 35: 1853- 1857.
|